La salud y la estética dental, son cuestiones que van de la mano y que abarcan todas las edades. Es por eso que dedicarles las atenciones necesarias siempre es fundamental. De esta forma, la rehabilitación estética dental nos aporta bienestar, mejorando nuestra autoestima y evitando posibles enfermedades bucodentales que pueden dar lugar a graves problemas.
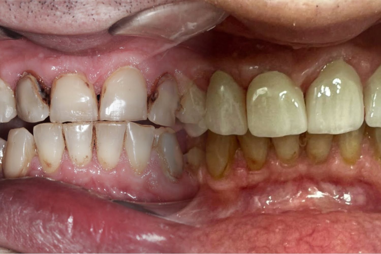
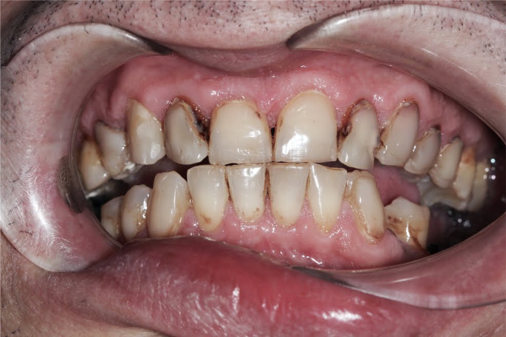
El caso del paciente del que hoy vamos a hablar es un claro ejemplo de esta cuestión. Se trata de una persona joven que debido a su profesión manifiesta no sentirse a gusto con la estética de su boca. Tras un estudio en profundidad comenzamos el tratamiento de recuperación tanto de su estética como de su salud bucodental por la arcada superior.
El primer paso antes de comenzar el tratamiento es realizar un saneamiento completo de toda la arcada que vamos a proceder a rehabilitar. Para ello, realizaremos en primer lugar un curetaje dental.
El curetaje o raspado y alisado radicular es un tratamiento que consiste en eliminar la placa bacteriana que se sitúa detrás de la encía y que va deteriorando el hueso que sujeta los dientes.
Para realizar el tratamiento de forma correcta, hay que realizar un estudio previo, conocido como periodontograma, para medir la profundidad de las bacterias en las 4 caras de cada uno de los dientes. Así, antes de realizar el tratamiento, ya sabremos hasta cuantos milímetros tendremos que raspar para eliminar toda la placa bacteriana.
Realización de endodoncia
La endodoncia es un procedimiento que tiene como finalidad preservar las piezas dentales dañadas, evitando así su pérdida. Para ello, se extrae la pulpa dental y la cavidad resultante, se rellena y sella con material inerte y biocompatible.
En el caso que nos ocupa, observamos que eran varias piezas las que podían conservarse gracias a la endodoncia. Es por esto que tras esta primera fase, el paciente ya estaba listo para continuar con la rehabilitación estética con prótesis de zirconio.
Ventajas de las prótesis de zirconio
Las prótesis de Zirconio tienen diferentes ventajas respecto a las de metal y porcelana. Una de las más importantes es que no llevan metal en su composición ni fabricación lo que las hace 100% biocompatibles.
En cuanto a la funcionalidad y durabilidad, las prótesis dentales de zirconio son más resistentes que las prótesis de porcelana aunque la elección de los materiales u otros compuestos como el Disilicato de Litio, dependerá siempre de factores clínicos.
En el aspecto estético también resulta la opción más recomendable. Esto es porque el zirconio permite la recreación de la tonalidad y textura del diente natural, aspectos únicos de cada persona.
Fase final: El resultado
Una vez pasado el tiempo de osteointegración de los implantes pasamos a la fase final de la rehabilitación estética. Este punto permite aportar una estética impecable, evitando dañar los dientes y manteniendo su estructura.
Todo ello en pocas sesiones y evitando largas esperas e incomodidades del pasado.
Toma las riendas de tu bienestar
Si te estás planteando la necesidad de mejorar tu salud bucodental y de poder lucir tu mejor sonrisa, ponte en las mejores manos.
Infórmate sin compromiso y cuenta con los mejores profesionales expertos en rehabilitación dental estética, el equipo de Clínica Implantsite. Pide cita ya y accede a una revisión 100% GRATUITA, que incluye:
- Radiografía PANOREX®
- Primera valoración a cargo de nuestro Director Clínico, el Dr Francisco Carrero.
- Consulta con especialista indicado, si se necesita
- Presupuesto sin compromiso y facilidades de financiación







