En el mundo de la odontología, la constante búsqueda de materiales más duraderos, estéticos y biocompatibles ha llevado a la introducción de los coronas de zirconio. Estas coronas dentales han ganado popularidad en los últimos años debido a sus numerosas ventajas. Te explicamos en este artículo qué son y por qué podrían ser la mejor opción para ti.
¿Qué son las coronas de Zirconio?
Son estructuras protésicas diseñadas para cubrir un diente dañado. Estas coronas están hechas de óxido de zirconio, un material cerámico extremadamente resistente y duradero. El zirconio exhibe un color blanco y una maleabilidad excepcional, así como una alta resistencia a la fractura y buena apariencia estética, lo que lo convierte en una excelente opción para restauraciones dentales.
Ventajas de las coronas de zirconio
1. Durabilidad
Una de las principales ventajas de las coronas de zirconio es su excepcional durabilidad. El zirconio es un material extremadamente resistente que puede soportar la fuerza al masticar sin desgastarse ni romperse fácilmente. Esto significa que las coronas de zirconio tienen una vida útil más larga en comparación con otras opciones de restauración dental.
2. Estética
Otra ventaja significativa de las coronas de zirconio es su excelente apariencia estética. El zirconio es translúcido y refleja la luz de manera similar al esmalte natural de los dientes, lo que las hace prácticamente indistinguibles de los dientes naturales. Esto las convierte en una opción ideal para aquellos que desean una sonrisa bonita y natural.
3. Biocompatibilidad
El zirconio es un material biocompatible, lo que significa que es seguro para su uso en el cuerpo humano y es poco probable que cause reacciones alérgicas o irritaciones en las encías. Esto lo hace adecuado para pacientes con sensibilidades dentales o alérgicas a otros materiales.
4. Ajuste preciso
Las coronas de zirconio se fabrican utilizando tecnología de escaneo digital y fresado computarizado, lo que garantiza un ajuste preciso y cómodo. Esto reduce la necesidad de ajustes adicionales y minimiza el riesgo de irritación de las encías debido a bordes irregulares.
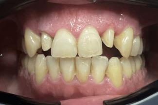
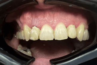
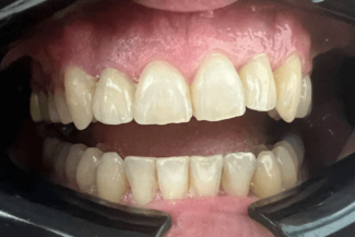
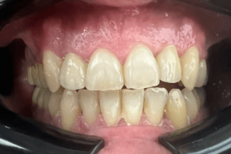
Caso real
En este caso real se puede ver el proceso por el que pasa el paciente para la colocación de las coronas:
Primero se realiza un curetaje dental para eliminar la placa bacteriana:
Una vez realizadas las coronas definitivas se le colocan al cliente asegurándose que quedan bien integradas, tanto funcionalmente como estéticamente.
Debido a sus propeidades el zircono es un material que está siendo usado cada vez más en odontología, no solo en la creación de coronas dentales, sino también en implantes dentales. Si te interesa saber más te invitamos a leer el siguiente artículo: Rehabilitación estética con prótesis de zirconio – Caso real
¿Son las coronas de zirconio adecuadas para ti?
Si estás considerando una restauración dental y deseas una opción que combine durabilidad, estética y biocompatibilidad, las coronas de zirconio podrían ser la elección perfecta para ti. Sin embargo, es importante consultar con tu dentista para determinar si este tratamiento es adecuado para tu caso específico. Pide ya tu cita y revisaremos tu caso para aconsejarte el mejor tratamiento.








